Welcome to Pradent
g909.png

Invisalign & Damon Braces Provider

Meet Dr Prachi Adsul, Best Orthodontist In Pune

Invisalign & Damon Braces Provider

Meet Dr Prachi Adsul, Best Orthodontist In Pune

Best Teeth Straightening in Katraj & Ambegaon, Pune

g970.png

Next-Gen Technology

Using top-notch 3D scanning, CNC technology & highest quality branded materials

2

Hassle-Free

Predictable, comfortable & lifestyle-friendly for an easy smile transformation.

1

Transparent Pricing

Everything's included – from scans to braces /aligners, doctor consults– no hidden costs.

About us

We Are Doctor Led, Not Direct To Customers

17+

Years Experience

Customer satisfaction number one

We don’t offer direct-to-customer invisible aligners. We treat you in a PRADENT Dental clinic with an Orthodontist. Braces or Aligners are just the beginning; we ensure comprehensive treatment.
Awards

A Comfortable & Relaxed Treatment Experience

PRADENT prioritizes your comfort, creating a relaxed and stress-free environment for your dental treatments. Choose PRADENT for a comfortable dental experience, where your well-being comes first.
Smiling Patients
0 +
Years Experience
0 +
Braces Cases
0 +
Clear Aligners
0 +
Services

Our Clinic Provide The Best Services & Consultation at Katraj & Ambegaon, Pune

Crowding

Teeth are too close together, causing misalignment.

Spacing

Gaps between teeth due to missing teeth or smaller tooth size.

Overjet

Upper front teeth protrude significantly over lower teeth.

Underbite

Lower teeth extend past the upper teeth when biting down.

Crossbite

Upper teeth fit inside lower teeth when biting down.

Open Bite

Upper and lower teeth do not touch when biting down.

Braces

Clear Aligners

Retainers

Palatal Expanders

Headgear

Space Maintainers

Orthodontic Surgery

For Emergency Contact us

Feel free to get in touch with us however you please. For form and email inquiries, we usually reply within 24 hours.

Contact Us

Make An Appointment Now


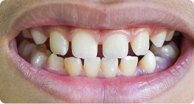
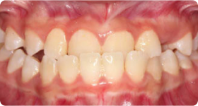
Results You'll Love

Underbite

Before

After

Crooked Teeth

Before

After

Open Bite

Before

After

Protruding Teeth

Before

After

Why Choose Us

We Are Best Solution For Your Dental Health

Quality
99%
Success rate
99%
Dentist

Expert & Experienced

Dr. Prachi Adsul Chithari

Orthodontist, Implantologist, Restorative and Aesthetic Dentist

Dr. Bhavika Khichi

Dental Surgeon

Dr. Shravani Yeolkar Deo

Dental Surgeon

Braces

Innovations

Innovations in appliances – especially the advent of direct bonding, and less visible brackets and tooth-colored wires- have caught the attention of many adults who would not otherwise seek orthodontic treatment.

All-Age Groups

With the latest advances and technologies, it is now possible to treat young children, young adults, and older adults for orthodontic (braces) treatment, hence making it possible for them to enjoy a confident beautiful smile.

The Specialists

We are specialists in adult Orthodontics & have almost 60% patients of our total patient number as adult patients. More than 2000 adult patients happily underwent braces treatment with the new advanced system of braces.

Invisalign/Aligners

Attractive

The biggest benefit of Invisalign is that the retainers are virtually invisible. Adult patients love that colleagues and clients can’t see they are undergoing orthodontic treatment. Self-conscious teens do too.

Eat Anything

Invisalign aligners can be removed for eating, brushing your teeth, and flossing. That is something that cannot be done with ( braces) . It allows you to eat the foods you want and practice better oral hygiene.

Fewer Consultations

A 3D scan of your teeth is used for making all the customized retainers in a laboratory. You should change the multiple sets of retainers on your orthodontist’s directions. Few visits to the orthodontist means less time off work.
How to get your dream smile

Transform your smile with PRADENT in three easy steps

Schedule An Assesment

Give us a call or fill out an intro call form to connect with Pradent Team and schedule a meet-up.

Meet With The Expert

Get together for coffee or just over the video call with your dentist so we can talk in detail about your needs, desires, and treatment.

Let us be your guide

We put together a plan of action to help you get a confident beautiful smile so that you can express fully
Testimonial

What Our Customer Say About Our Clinic

R G profile pictureR G
14:24 01 Oct 24
Good Invisalign aligner treatment in Katraj
Good experience with teeth extraction
Made me feel comfortable
She is having lot of experience
manjusha sutar profile picturemanjusha sutar
14:02 01 Oct 24
I underwent 2 tooth root canal at time.
It was my first dental treatment experience.
Dr. Bhavika was done the whole procedure
Very soomthly and painless. I also was alsodone zirconia cap placement . While dental procedure very nice.
Staff is so polite and helpful. Dr. Prachi
Very nice and experience
I recommend to dental procedure from predent.
Sakshi Dhawan profile pictureSakshi Dhawan
13:53 01 Oct 24
Had a great experience getting tooth extracted and my fillings done with Dr. Prachi and Dr. Bhavika, they are both great doctors and really comforting. They guided me through out the procedure and made me feel calm and comfortable getting my filling and extraction done
Jay Dhumal profile pictureJay Dhumal
13:31 30 Sep 24
I got self ligating metal braces to clear my teeth gaps .
Overall great job and satisfied with the treatment by Dr. Prachi Adsul at Pradent Dental clinic
Vrushali Mole profile pictureVrushali Mole
07:24 30 Sep 24
I was having terrible pain in lower front tooth, it was so bad that i wasnt able to drink or eat anything . Upon consultation i went ahead with RCT , in the first visit itself my pain was reduced very much . Dr prachi is genuine friendly and provides excellent and painless treatment. Dr prachi is experienced in dental braces, invisalign aligners and dental implants . Highly recommend dr prachi for your dental needs
Hitakshi Komkar profile pictureHitakshi Komkar
10:34 28 Sep 24
I have been ongoing with the treatment with braces. I got the contact of Dr prachi through my sister even she had a good experience over here.
So I decided to continue my treatment with dr Prachi I was impressed by the treatment she gave and efforts.I can see the very beautiful diffrence in my smile.i would recommend Do visit her clinic if you wish to see a transformation in your smile!.
Neha Raje profile pictureNeha Raje
08:08 26 Sep 24
I am taking Invisalign treatment from Dr. Prachi since July 2024 and I am really happy with the treatment. I can literally see the difference in my smile and teeth from day 1 of starting the treatment. She is very professional and kind. It’s Worth every penny you spend! Do visit her clinic if you wish to see a transformation in your smile!
Dhiraj Kuranjekar profile pictureDhiraj Kuranjekar
14:26 24 Sep 24
So I'm a very old patient of Dr prachi . I'm consulting Dr practice since 3 to 4 years. Dr prachi's practice is wonderful, the knowledge she has regarding each and every case is commendable. Dr prachi has treated me as well as my mother very patiently. My mother had a multiple decayed teeth and few missing teeth , she has done her implants regarding missing teeth. Initially My mother was very muh scared but Dr prachi handled it very patiently and nicely and implant procedure went very smoothly and fast also. She placed zirconia cap over implant which was very good in fitting and comfortable. Dr prachi is experienced in dental braces , invisalign aligners and dental implants. Dr prachi is genuine, soft spoken, and has a very friendly nature . She treats her every patient very efficiently. I must say do visit Dr prachi for your dental health problems . One of the best dentist in pune.
Vinod Sapte profile pictureVinod Sapte
14:54 23 Sep 24
I am visiting Dr. Prachi since 10 years ,Dr prachi has done my dental treatments of very different different problems, I also had undergone dental braces treatment since I had very forwardly placed teeth and mal-aligned as well . My smile correction was done very perfectly and fast. Dr prachi has done her specialization in dental braces, Invisalign aligners and dental implants , Dr prachi is extremely soft spoken , genuine and follows ethics tu o max. Dr prachi has recently did my RCT followed by zirconia cap. My entire treatment was very smoothly and painless. I would highly recommend Dr prachi for your dental problems. I must say one of the bestest and coolest dentist in pune. I'm very much impressed with her knowledge that she provides for each treatment . She makes sure each n every pt. Should undrstand what is the importance of the treatment and how to maintain it.
Rushikesh Mohite profile pictureRushikesh Mohite
09:19 16 Sep 24
What a huge transformation in my smile. All credits goes to dr prachi. She is a wonderful orthodontist. Initially i was very unhappy with my smile, i had crooked teeth and very uneven smile so dr prachi suggested to go for orthodontic braces treatment. My treatment got completed at a very faster rate. My family and friends really appreciate my new smile. My treatment was completely painless and smoothly. One has correctly said that she actually has god gifted hands. You dont have to worry if your dental condition is in dr prachi's hands, she knows very well how to turn it out in a good manner. Dr prachi has done her specialization in dental braces, Invisalign aligners and dental implants. Dr prachi is very genuine, friendly and caring and follows ethics upto the point. Clinic sanitization is very well maintained. Highly highly highly recommende. Thank you doctor

Book An Appointment


Book An Appointment

We welcome your inquiries and appointment requests at any time.

Call Now Button